逆流性食道炎
強い酸性の胃液(胃酸)が胃の内容物とともに食道に逆流し、食道の粘膜に炎症が生じる病気です。胃酸が増えすぎてしまったり、胃酸の逆流を防ぐ機能がうまく働かなかったりすることで起こります。胃酸がのどまで上がってきて酸っぱいと感じるようになったり、胸やけやのどがヒリヒリしたりして不快感が続きます。喫煙、飲酒などの生活習慣や加齢、肥満、姿勢、食道裂孔ヘルニアなどが原因となります。
消化器内科
Gastroenterology
Gastroenterology
当院の消化器内科は、食道・胃・十二指腸・大腸などの消化管と、肝臓・胆のう・膵臓などを幅広く診療します。
消化器は外から見えない臓器で症状も多彩なため、症状に応じて必要な問診や身体診察、血液検査、レントゲン検査、CT検査、腹部超音波検査、上部内視鏡検査(胃カメラ)などを用いて診察・診断します。胃腸炎、胃潰瘍などの急性疾患や、胃がんや大腸がんなど命に関わる重大な疾患も存在しています。少しでも症状が見られるときは我慢せず、お気軽にご相談ください。
食道、胃、十二指腸、大腸、肝臓、胆のう、膵臓などの病気に関して幅広く診療を行っております。
このような症状がある方はご相談ください。
日常的に起こりやすい症状でも、詳細な問診・診察・検査を行うことで重大な病気の早期発見につながることもよくあります。お腹の不調や気になることがございましたら、何でもお気軽にご相談ください。



強い酸性の胃液(胃酸)が胃の内容物とともに食道に逆流し、食道の粘膜に炎症が生じる病気です。胃酸が増えすぎてしまったり、胃酸の逆流を防ぐ機能がうまく働かなかったりすることで起こります。胃酸がのどまで上がってきて酸っぱいと感じるようになったり、胸やけやのどがヒリヒリしたりして不快感が続きます。喫煙、飲酒などの生活習慣や加齢、肥満、姿勢、食道裂孔ヘルニアなどが原因となります。
急性胃炎とは、様々な原因で胃の粘膜が急激に炎症を起こす病気です。突発する上腹部痛、吐き気、嘔吐、時に吐血・下血の症状を伴って発症します。内視鏡検査で、胃粘膜に急性の炎症性変化、出血、潰瘍性変化が観察されるものを、急性胃粘膜病変と呼び、過度の飲酒や刺激の強い食べ物の摂取、ストレス、ヘリコバクター・ピロリの感染、アレルギー、鎮痛薬・ステロイド・抗菌薬などの薬剤が原因と考えられています。内視鏡検査が普及しており、粘膜の炎症状態を詳しく観察できます。

食物を分解する働きをもつ胃酸や消化酵素が、胃や十二指腸の壁を深く傷つけてしまうことによって起こります。粘膜へのヘリコバクター・ピロリの感染が主な原因ですが、薬剤やストレスなどでも発症します。40歳代以降の方に多くみられますが、ヘリコバクター・ピロリに感染していると若い方でも発症することがあります。症状は、みぞおちや背中の痛み、お腹の張り、吐き気、胸やけなどが生じます。潰瘍が深くなると出血することがあり、吐血や血便がみられます。
便秘症は、本来体外に排出すべき糞便を十分量かつ快適に排出できない状態のことをいいます。便秘症の原因は幅広く、原因が異なれば治療法も違います。中には危険な便秘もあるので注意が必要です。強い腹痛や吐き気、発熱などを伴う場合や便に血が混ざる場合は我慢せずに、すぐに受診してください。
ウイルス、細菌、寄生虫などが腸管に感染することによって発症します。梅雨の影響などで高温多湿となる夏場は細菌性のものが多く、冬場にはノロウイルスをはじめとするウイルス性のものが多くみられます。細菌性はカンピロバクター、サルモネラ、腸管出血性大腸菌(O‐157)、腸炎ビブリオなどがあり、ウイルス性はノロウイルス、ロタウイルス、エンテロウイルス、アデノウイルスなどがあります。下痢や腹痛のほか、下血・血便や発熱、悪心・嘔吐、食欲不振などを伴うため、症状に応じて内服薬を処方します。脱水予防には、自宅で出来る経口補水療法が効果的です。
肝細胞や胆管に炎症が起こり、傷ついてしまった状態のことです。肝細胞や胆管が傷つくと細胞に含まれるASTやALT、γ-GTPという酵素が血液中に漏れ出ることで、血液検査の異常として発見されます。原因は多岐に渡り、ウイルス性肝炎(B型、C型肝炎が大半)、アルコール性肝障害、非アルコール性脂肪性肝疾患(NAFLD)、薬物性肝障害、自己免疫性肝炎などがあります。数値に異常があった場合は、原因を調べ、必要に応じて生活習慣の改善に取り組み、悪化(肝硬変)を防ぐことが重要です。




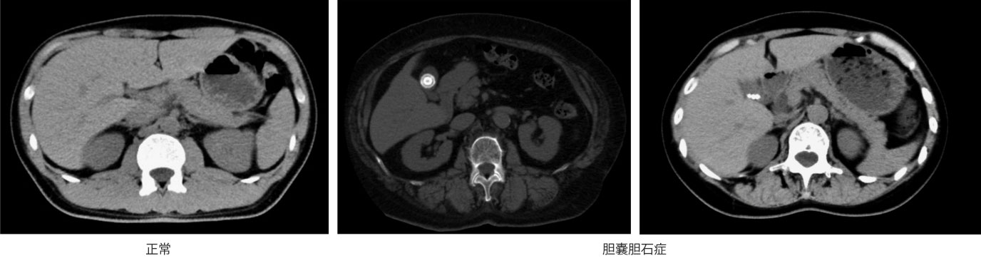
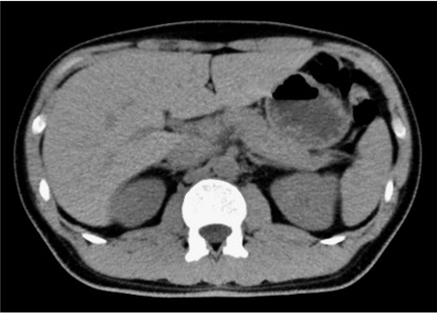
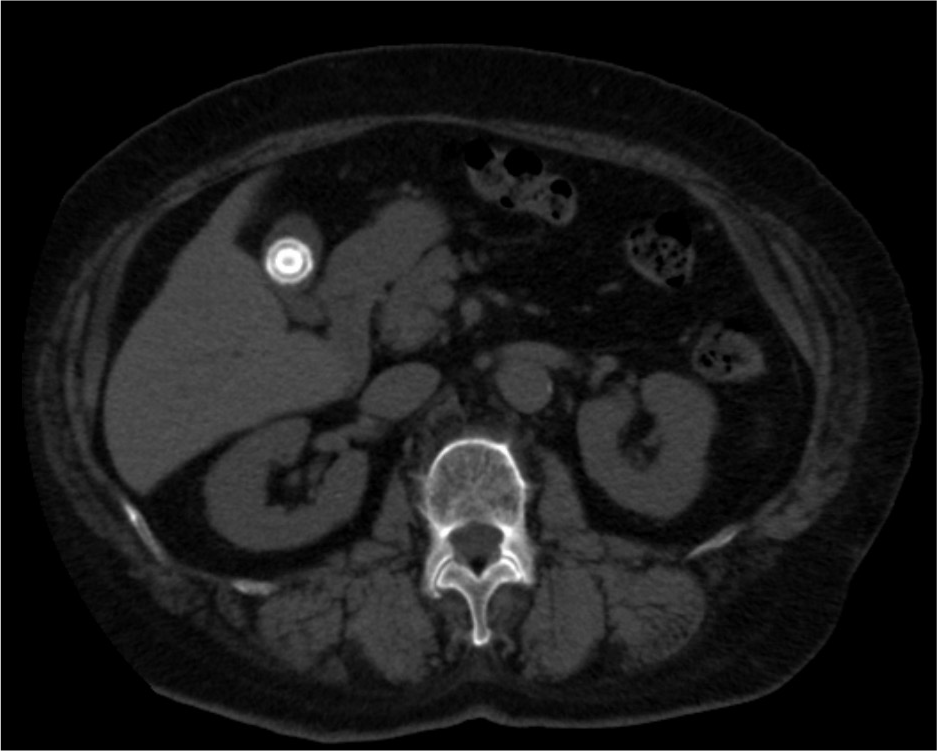
消化酵素を溜めている袋(胆のう)の中に何らかの原因でできた石を胆石と呼び、胆嚢の中に石があることを胆のう結石といいます。検診などで見つかることも多く、無症状の場合には経過を観察することもありますが、石が胆管に詰まると胆のう結石症を発症します。その症状は、みぞおちの右側を中心とした激しい痛みが典型的で、右肩や背中の痛みを伴う場合もあります。血液検査や腹部CT検査などで診断し治療方針を決めていきます。

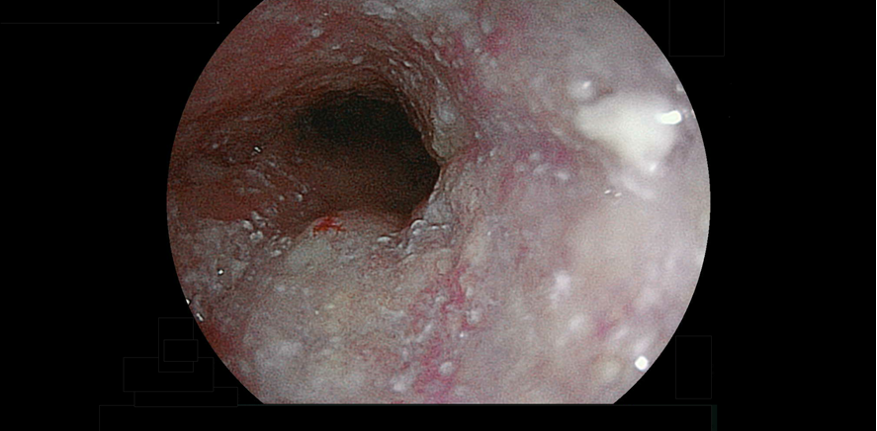
食道がんは飲酒や喫煙が主な危険因子であり、熱い食べ物、塩分の多い食べ物もリスクと考えられています。40歳代以降の男性に多く、早期では無症状ですが、進行すると食べ物を飲み込むときに胸がしみる感じ、つかえる感じ、胸痛が生じます。早期に発見できれば内視鏡治療を含む低侵襲な治療が選択可能となります。飲酒や喫煙をされる方や熱い食べ物、塩分の多い食べ物を好む方、バレット食道の診断がついた場合、定期的に内視鏡検査で経過観察を行うことをお勧めします。


欧米と比較し日本で多い傾向にあり、日本人のがんによる死亡原因の第2位です。一般的な胃がんは胃炎や萎縮を起こしている粘膜から発生すると考えられています。原因はピロリ菌感染が多くを占めますが、喫煙や塩分の過剰摂取、栄養バランスの偏った食事なども要因と考えられています。早期の胃がんや特殊なタイプの胃がんを発見するための内視鏡的な診断する技術や、発見したがんを治療する技術が進歩しており、がんの早期発見と治療が可能になっています。定期的に内視鏡検査を行うことで早期発見と早期治療を可能にします。
平均寿命の高齢化に加え、食生活の欧米化など様々な要因もあり、大腸がんの患者数や死亡者数は増加傾向にあります。大腸がんは初期では症状を自覚することが少なく、気付かないうちに進行します。症状が出てから診断に至った場合には、内視鏡治療などの低侵襲な治療が選択出来ないことがあります。大腸ポリープ切除術を行うことで、大腸がんによる死亡を予防できることも報告されています。繰り返す下痢や便秘などの排便異常や血便、便潜血反応陽性の方は大腸内視鏡検査をお勧めします。
膵臓がんは特徴的な症状がなく、早期発見が難しいがんの一つです。早期には自覚症状がほとんどなく、病気が進むと、胃部不快感、腹痛、腰背部痛、黄疸、腹部違和感や食欲不振、体重減少、糖尿病の悪化などがみられます。現在、膵臓がんの原因ははっきりしていませんが、喫煙・膵嚢胞・糖尿病・慢性膵炎・膵臓がんの家族歴などが危険因子とされています。このような因子を持っている方は早期発見のため、積極的に血液検査やCT検査、MRI検査などを受けられることをお勧めします。